Rabu, 25 September 2019

Cara Menumbuhkan Gigi Yang Ompong Secara Alami

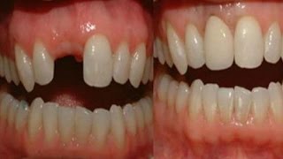
  • KABAR GEMBIRA !! Hanya Dalam Waktu 2 Bulan Cara alami ini Tumbuhkan Gigi Yang Terlanjur Ompong

    KABAR GEMBIRA !! Hanya Dalam Waktu 2 Bulan Cara alami ini Tumbuhkan Gigi Yang Terlanjur Ompong.
    Watch Now
  • WOW! Gigi OMPONG Tumbuh Lagi dalam 9 Minggu Tanpa Operasi

    Selamat datang di VIDEO BAGUS CHANNEL yang merupakan Saluran Berita berisikan Berita Terbaru, Berita Terupdate, Berita Terkini, Berita Heboh, video ...
    Watch Now
  • Gigi yang dicabut apakah bisa tumbuh lagi?? - Dental id

    PERHATIAN ## Jika ingin berkonsultasi kesehatan gigi langsung klik http://senyum.dental.id Banyak pertanyaan terkait gigi yang sudah dicabut apakah bisa ...
    Watch Now
  • Bagikan!! CARA ALAMI TUMBUHKAN GIGI YANG SUDAH TERLANJUR OMPONG HANYA DALAM 9 MINGGU.

    Bagikan!! CARA ALAMI TUMBUHKAN GIGI YANG SUDAH TERLANJUR OMPONG HANYA DALAM 9 MINGGU. Tonton Lebih Banyak Video Menarik Lainnya.
    Watch Now
  • Obat Alzheimer dapat menumbuhkan gigi - Tomonews

    OBAT ALZHEIMER DAPAT MEMBANTU MENUMBUHKAN GIGI Download Aplikasi terfavorit kami di link berikut ini, sekarang juga! https://goo.gl/1pHjTA ...
    Watch Now
  • Dokter Ini Ungkap Tumbuhkan Gigi Ompong dalam 9 Minggu

    Berikut ini merupakan video penjelasan tentang Dokter Ini Ungkap Tumbuhkan Gigi Ompong dalam 9 Minggu. Semoga bermanfaat bagi anda.
    Watch Now
  • Gigi Depan Berlubang dan Hitam buat Cewek Ini Malu, Setelah Ditambal Kembali Tersenyum

    tambalgigi #caries #toothfilling.
    Watch Now
  • CEWEK CANTIK OMPONG JADI JELEK, SETELAH PASANG GIGI PALSU JADI CANTIK KEMBALI mirip kintan mary

    kintanmary #gigipalsu.
    Watch Now
  • Tutorial gigi ompong (and sub)

    Hai temen temen kali ini aku mau ngasih tutorial gigi ompong mau tau tonton sampe habis ya !
    Watch Now
  • Pasang Gigi Palsu Permanen di Depan, Ibu ini bisa tersenyum kembali

    gigipalsu #kintanmary.
    Watch Now
  • MERAPIKAN GIGI TANPA BEHEL - Cindy Thefannie

    Halo semuanya, kali ini sesuai request kalian, akhirnya aku buat video tentang Tips Merapikan gigi tanpa behel . Ini bukan video endorse ya... Untuk yang ...
    Watch Now
  • Gigi Anda Berlubang Jangan Ditambal Atau Dicabut, Ini Solusinya

    Berikut ini merupakan video penjelasan tentang Gigi Anda Berlubang Jangan Ditambal Atau Dicabut, Ini Solusinya. Semoga bermanfaat bagi anda yang ...
    Watch Now
  • CARA BUAT GIGI GINSUL SENDIRI {15,000}

    Assalamualikumm Vlog kali ini ane pakai gigi GINSUL ya apa gigi drakula atau gigi taring terserah namain apa kalo menurut ane si gigi GINSUL kalo d ...
    Watch Now
  • Cara Baru Tumbuhkan Gigi Anda Yang Terlanjur Ompong

    Namun sayangnya, implan gigi bisa mengakibatkan permasalahan serta komplikasi spesifik, seperti kemungkinan badan akan menampik implan, biaya yang ...
    Watch Now
  • GIGI COPOT BISA DIMASUKIN LAGI ? | Danti Narulita

    Trauma adalah luka baik secara fisik maupun psikis. Pada gigi juga bisa terjadi trauma. Trauma gigi adalah kerusakan pada jaringan keras atau lunak gigi ...
    Watch Now

Tidak ada komentar:

Posting Komentar